Understanding Coronary Angiography

Understanding Coronary Angiography

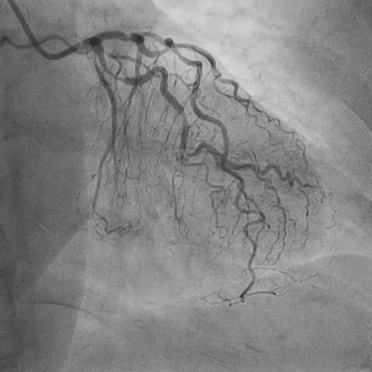
Coronary angiography is a medical procedure that uses a special contrast dye and X-rays to visualise the inside of the coronary arteries. This contrast dye is injected through a catheter – a thin, flexible tube inserted into an artery or vein. The dye illuminates the arteries during X-ray imaging, allowing for the detection of any blockages or narrowing. This information is crucial for diagnosing coronary artery disease (CAD), a leading cause of cardiovascular events.

Why Is Coronary Angiography Done?

As a precise and minimally invasive test, cardiologists recommend coronary angiography for several reasons, including:

  • Heart Attack Treatment: Individuals who have experienced a heart attack may undergo coronary angiography to identify the exact location of blocked arteries and guide treatment accordingly.
  • Detect Angina: Coronary angiography is recommended for individuals experiencing angina that becomes worse, does not go away, occurs more often, and happens at rest.
  • Atypical Chest Pain: Individuals with atypical chest discomfort or shortness of breath that does not align with typical symptoms of angina or a heart attack may undergo coronary angiography.
  • Pre-Heart Surgery Procedure: A doctor usually conducts an angiography before an individual undergoes open heart surgery to assess the condition of the coronary arteries and determine if they are at risk of arterial diseases.
  • Abnormal Heart Stress Test: An angiography may be recommended if a stress test yields abnormal results, suggesting potentially clogged arteries or an underlying heart condition.
  • Heart Failure: When the heart fails to pump blood properly, a doctor may advise patients to undergo coronary angiography to help identify the cause, such as coronary artery disease.

What Heart Problems Can Be Diagnosed by Coronary Angiography?

A coronary angiogram is used to detect a range of heart problems, such as:

  • Coronary Artery Disease (CAD): This is the most common use. Coronary angiography can pinpoint blockages caused by coronary artery disease (CAD), where plaque buildup narrows the arteries supplying blood to the heart.
  • Coronary Artery Aneurysm (CAA): It can also detect coronary artery aneurysms, a rare condition characterised as an abnormal bulging or ballooning of the coronary artery, caused by the weakening of the arterial wall.
  • Arrhythmia: While not directly diagnosing arrhythmia (irregular heartbeat), a coronary angiography can sometimes reveal underlying heart issues that might be causing the arrhythmia.

How Do You Prepare for Coronary Angiography?

Before a coronary angiography, patients will typically be instructed to:

  • Refrain from eating or drinking anything for six to eight hours before the procedure.
  • Undergo several tests, such as blood tests, an electrocardiogram (ECG), and a chest X-ray.
  • Provide a list of all medications, including regular prescriptions and any supplements.
  • Inform the doctor of any allergies or medical conditions, such as diabetes, asthma, or kidney disease.
  • Arrange for transportation home after the procedure, as patients may not be able to drive themselves.

How Is Coronary Angiography Done?

The coronary angiography procedure typically takes 30–60 minutes to complete, depending on the complexity of the case and individual circumstances.

  • What to Expect During the Procedure Patients will receive a mild sedative to help them relax while remaining awake throughout the procedure. The doctor will then cleanse and numb the area where the catheter will be inserted using a local anaesthetic. Subsequently, a small incision is made, and the catheter is guided through an artery into the heart. Patients may experience dull pressure at the insertion site. After placing the catheter, the doctor injects a contrast dye and proceeds to take a series of X-ray images (angiograms) to monitor the flow of the dye within the coronary arteries and detect any blockages or constrictions of blood flow. The patient may feel a brief flushing sensation during the dye injection.
  • What to Expect After the Procedure Following the procedure, the catheter is removed, and pressure is exerted on the insertion site to stop bleeding. If the catheter is placed in the groin, the patient may be instructed to remain in a supine position for a few hours to minimise the risk of bleeding. A bandage is then applied to the insertion site to prevent further complications. The patient will be transferred to a recovery area where the healthcare team will closely monitor them for any complications. In most cases, patients can be discharged on the same day, although some may require an overnight hospital stay for further symptom monitoring. Doctors advise patients to drink plenty of water after the test to help flush out the contrast dye from the kidneys.

What Do Coronary Angiography Results Mean?

The findings from a coronary angiography can offer insights into the condition of the heart and its arteries, helping heart specialists diagnose and treat various heart conditions.

  • Normal Results: This indicates a normal blood supply to the heart with no arterial blockages or abnormalities.
  • Abnormal Results: This shows the presence of one or more arterial blockages and an increased risk of developing coronary artery disease or other cardiovascular problems.

Ace Cardiology Clinic is a heart clinic in Singapore that offers comprehensive diagnostic services, including coronary angiography, to detect various heart conditions. Following the test, we tailor treatment plans for patients to ensure optimal outcomes and improve heart health. For more information, call 9155 2942 today.

Ace Cardiology Clinic location
Visit Us At

3 Mount Elizabeth, #17-18
Mount Elizabeth Medical Centre
Singapore 228510

Operating Hours
Opening Hours

Mon to Fri: 9:00am–5:00pm
Sat: 9:00am-12:00pm
Sun & PH: Closed

Contact Information
Let’s Talk

Tel: 6235 7536 | 9155 2942
Fax: 6235 7598
info@acecardiologyclinic.com

How Can We Help You Today?

Need Help or Make an Appointment.

We will be delighted to assist you today. Call or send a message to the Heart team. You can also have us call you back at your convenience.

So please call us at +65 9155 2942. We look forward to hearing from you.